Răng lòi xỉ, hay còn gọi là răng khểnh, là tình trạng răng nanh mọc lệch ra khỏi cung hàm. Trong quan niệm dân gian, răng lòi xỉ thường được xem là một nét duyên dáng, đặc biệt là ở phụ nữ. Tuy nhiên, dưới góc độ y khoa và thẩm mỹ hiện đại, liệu răng lòi xỉ có thực sự là nét đẹp hay không, và nó có tiềm ẩn những nguy cơ nào? Cùng Niềng Răng AZ giải đáp thắc mắc này ngay nhé!
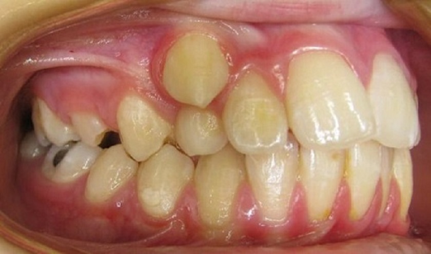
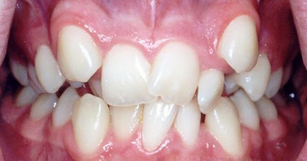
Răng lòi xỉ là tình trạng răng nanh (thường là răng hàm trên) mọc lệch ra ngoài hoặc vào trong so với các răng còn lại trên cung hàm. Răng lòi xỉ có thể mọc cao hơn hoặc thấp hơn các răng khác, tạo nên sự không đều đặn cho hàm răng.

Trong văn hóa dân gian Việt Nam, răng lòi xỉ thường được coi là một nét duyên dáng, đặc biệt là ở phụ nữ. Người ta thường cho rằng những người có răng lòi xỉ có nụ cười duyên dáng, thu hút và có tính cách tinh nghịch, đáng yêu. Tuy nhiên, quan niệm này chủ yếu dựa trên góc độ thẩm mỹ truyền thống và cảm quan cá nhân.
Dưới góc độ y khoa và thẩm mỹ hiện đại, răng lòi xỉ có thể gây ra những vấn đề sau:

Xem thêm: Thiếu răng nào thì niềng được, răng nào thì không thể niềng?
Mặc dù răng lòi xỉ không phải là một bệnh lý nguy hiểm đến tính mạng, nhưng nó có thể gây ra những vấn đề về thẩm mỹ và sức khỏe răng miệng như đã nêu trên. Nếu không được điều trị kịp thời, răng lòi xỉ có thể dẫn đến những biến chứng nghiêm trọng hơn, ảnh hưởng đến chất lượng cuộc sống.
Hiện nay, có nhiều phương pháp điều trị răng lòi xỉ, tùy thuộc vào mức độ lệch lạc của răng và tình trạng sức khỏe răng miệng của từng người. Các phương pháp phổ biến bao gồm:
Nếu bạn có răng lòi xỉ và cảm thấy tự ti về nụ cười của mình, hoặc gặp các vấn đề về sức khỏe răng miệng do răng lòi xỉ gây ra, hãy đến gặp bác sĩ nha khoa để được tư vấn và điều trị kịp thời. Bác sĩ sẽ đưa ra đánh giá chính xác về tình trạng răng miệng của bạn và đề xuất phương pháp điều trị phù hợp nhất.