Niềng răng mọc lộn xộn có đau hay không? Làm sao để giảm đau?

Niềng răng là một giải pháp hiệu quả để khắc phục tình trạng răng mọc lộn xộn, hô móm, lệch lạc, mang lại hàm răng đều đẹp và nụ cười tự tin. Tuy nhiên, một trong những lo ngại lớn nhất của những người có ý định niềng răng chính là cảm giác đau nhức trong quá trình điều trị. Vậy, răng mọc lộn xộn khi niềng có đau không? Mức độ đau như thế nào và làm sao để giảm thiểu sự khó chịu này? Niềng Răng AZ sẽ cung cấp những thông tin chi tiết để giải đáp thắc mắc của bạn.

Vì sao niềng răng gây ra cảm giác đau?

Để hiểu rõ về cảm giác đau khi niềng răng, chúng ta cần nắm được cơ chế hoạt động của phương pháp này. Niềng răng sử dụng các khí cụ như mắc cài, dây cung, khay niềng để tạo lực kéo nhẹ nhàng và liên tục lên răng. Lực này tác động lên các mô xung quanh răng, bao gồm dây chằng nha chu và xương ổ răng, kích thích quá trình tiêu xương ở phía răng di chuyển và bồi xương ở phía răng được kéo đến. Chính sự dịch chuyển của răng trong xương hàm này là nguyên nhân chính gây ra cảm giác đau và khó chịu.

Đối với những trường hợp răng mọc lộn xộn, mức độ dịch chuyển răng thường lớn hơn so với răng đều. Do đó, lực tác động cần thiết để đưa răng về đúng vị trí cũng có thể mạnh hơn, dẫn đến cảm giác đau nhiều hơn trong giai đoạn đầu của quá trình niềng răng.

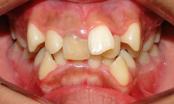
Răng mọc lộn xộn
Răng mọc lộn xộn

Mức độ đau khi niềng răng mọc lộn xộn như thế nào?

Mức độ đau khi niềng răng là một trải nghiệm cá nhân và khác nhau ở mỗi người. Nó phụ thuộc vào nhiều yếu tố, bao gồm:

  • Mức độ lộn xộn của răng: Răng càng lộn xộn, lệch lạc nhiều, lực kéo ban đầu có thể mạnh hơn để sắp xếp các răng về vị trí cơ bản, do đó cảm giác đau cũng có thể dữ dội hơn.
  • Ngưỡng chịu đau của mỗi người: Mỗi người có một ngưỡng chịu đau khác nhau. Người có ngưỡng chịu đau thấp sẽ cảm thấy khó chịu và đau đớn hơn so với người có ngưỡng chịu đau cao.
  • Loại khí cụ niềng răng: Các loại khí cụ niềng răng khác nhau có thể gây ra mức độ đau khác nhau. Niềng răng mắc cài kim loại truyền thống thường gây cảm giác vướng víu và khó chịu hơn so với niềng răng mắc cài sứ hoặc niềng răng trong suốt Invisalign. Tuy nhiên, mức độ đau do lực kéo răng có thể không khác biệt quá nhiều giữa các loại mắc cài.
  • Tay nghề của bác sĩ: Bác sĩ có tay nghề cao sẽ kiểm soát lực kéo răng một cách chính xác, tránh gây ra lực quá mạnh đột ngột, giúp giảm thiểu cảm giác đau cho bệnh nhân.
  • Giai đoạn điều trị: Cảm giác đau thường rõ rệt nhất trong vài ngày đầu sau khi gắn mắc cài hoặc sau mỗi lần tái khám và điều chỉnh lực kéo. Sau đó, cảm giác này sẽ giảm dần khi răng đã quen với lực tác động.

Cảm giác đau cụ thể trong quá trình niềng răng:

  • Sau khi gắn mắc cài: Trong 1-2 tuần đầu sau khi gắn mắc cài, bạn có thể cảm thấy đau nhức, ê buốt ở răng và hàm. Việc ăn nhai có thể trở nên khó khăn, đặc biệt là với những thức ăn cứng và dai.
  • Sau mỗi lần tái khám: Sau mỗi lần tái khám và điều chỉnh dây cung hoặc thay khay niềng, răng sẽ chịu một lực kéo mới, gây ra cảm giác đau nhức tương tự như sau khi gắn mắc cài, nhưng thường kéo dài ít ngày hơn.
  • Trong suốt quá trình điều trị: Ngoài những thời điểm trên, bạn có thể cảm thấy hơi khó chịu, vướng víu do sự tồn tại của khí cụ trong miệng. Các cạnh sắc của mắc cài hoặc dây cung có thể cọ xát vào má và lưỡi, gây ra các vết loét nhỏ.
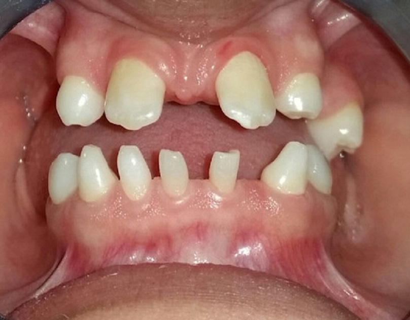
Răng lộn xộn và thiếu răng
Răng lộn xộn và thiếu răng

Xem thêm: Nguyên nhân tuột dây cung khi niềng răng là gì? Cách xử lý

Làm thế nào để giảm thiểu cảm giác đau khi niềng răng mọc lộn xộn?

Mặc dù không thể loại bỏ hoàn toàn cảm giác đau khi niềng răng lộn xộn, bạn hoàn toàn có thể áp dụng một số biện pháp để giảm thiểu sự khó chịu này:

  • Sử dụng thuốc giảm đau: Trong những ngày đầu sau khi gắn mắc cài hoặc tái khám, bạn có thể sử dụng các loại thuốc giảm đau không kê đơn như paracetamol hoặc ibuprofen theo hướng dẫn của bác sĩ.
  • Chườm lạnh: Chườm lạnh bên ngoài má có thể giúp giảm sưng và đau nhức.
  • Ăn thức ăn mềm: Tránh ăn các loại thức ăn cứng, dai, hoặc quá nóng, lạnh. Ưu tiên các món ăn mềm, lỏng như súp, cháo, sinh tố.
  • Vệ sinh răng miệng cẩn thận: Việc vệ sinh răng miệng đúng cách giúp ngăn ngừa viêm nhiễm, một trong những nguyên nhân gây đau nhức và khó chịu. Sử dụng bàn chải mềm, kem đánh răng chứa fluoride, chỉ nha khoa và nước súc miệng.
  • Sử dụng sáp nha khoa: Sáp nha khoa có thể được dùng để bôi lên các cạnh sắc của mắc cài, giúp giảm ma sát và tránh gây loét miệng.
  • Súc miệng bằng nước muối ấm: Nước muối ấm có tác dụng sát khuẩn, làm dịu các vết loét và giảm sưng viêm.
  • Tuân thủ theo hướng dẫn của bác sĩ: Tái khám đúng hẹn và tuân thủ mọi hướng dẫn của bác sĩ về cách chăm sóc răng miệng và khí cụ niềng răng.
  • Lựa chọn phương pháp niềng răng phù hợp: Tham khảo ý kiến bác sĩ về các phương pháp niềng răng khác nhau để lựa chọn phương pháp phù hợp với tình trạng răng và khả năng chịu đau của bạn. Niềng răng trong suốt Invisalign có thể mang lại cảm giác thoải mái hơn so với niềng răng mắc cài truyền thống.

Răng mọc lộn xộn khi niềng chắc chắn sẽ gây ra cảm giác đau và khó chịu, đặc biệt là trong giai đoạn đầu và sau mỗi lần điều chỉnh lực kéo. Tuy nhiên, mức độ đau khác nhau ở mỗi người và có thể được kiểm soát bằng các biện pháp chăm sóc tại nhà và tuân thủ theo hướng dẫn của bác sĩ. Điều quan trọng là bạn cần chuẩn bị tâm lý, lựa chọn nha khoa uy tín với bác sĩ có tay nghề cao và kiên trì trong suốt quá trình điều trị để đạt được kết quả tốt nhất. Đừng để nỗi lo sợ về cơn đau cản trở bạn sở hữu một nụ cười rạng rỡ và hàm răng khỏe mạnh.