Khi sở hữu một hàm răng đều đẹp, nụ cười tự tin sẽ là vũ khí lợi hại giúp bạn tỏa sáng trong mọi khoảnh khắc. Tuy nhiên, không phải ai sinh ra cũng may mắn có được hàm răng hoàn hảo. Tình trạng răng cửa bị thưa, tạo ra những khoảng trống kém thẩm mỹ, là một vấn đề nha khoa phổ biến. Để khắc phục tình trạng này, phương pháp chỉnh nha đóng khoảng răng cửa bằng loop đã trở thành một giải pháp hiệu quả được nhiều người lựa chọn. Vậy, gắn loop đóng khoảng răng cửa có đau không và thời gian điều trị kéo dài bao lâu? Hãy cùng Niềng Răng AZ tìm hiểu chi tiết trong bài viết dưới đây.
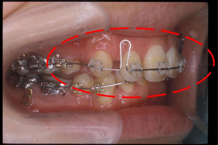
Loop đóng khoảng răng cửa là một khí cụ chỉnh nha được thiết kế đặc biệt để di chuyển các răng cửa lại gần nhau, từ đó đóng kín các khoảng trống giữa chúng. Khí cụ này thường được làm từ dây cung chỉnh nha có hình dạng đặc trưng với các vòng (loop) được uốn cong một cách tỉ mỉ. Các loop này có vai trò tạo lực kéo liên tục và nhẹ nhàng lên các răng, giúp chúng di chuyển một cách ổn định và hiệu quả.

Đây có lẽ là mối quan tâm hàng đầu của những ai đang cân nhắc lựa chọn phương pháp chỉnh nha này. Thực tế, cảm giác đau hay khó chịu sau khi gắn loop đóng khoảng răng cửa là điều khó tránh khỏi, nhưng mức độ và thời gian đau ở mỗi người sẽ khác nhau tùy thuộc vào nhiều yếu tố như:
Thông thường, cảm giác đau hoặc khó chịu sau khi gắn loop đóng khoảng răng cửa sẽ diễn ra trong khoảng 3-7 ngày đầu tiên. Trong thời gian này, bạn có thể cảm thấy:
Để giảm bớt cảm giác khó chịu trong giai đoạn này, bạn có thể áp dụng một số biện pháp sau:

Xem thêm: U40 có niềng răng được không? Nên niềng phương pháp nào?
Thời gian điều trị đóng khoảng răng cửa bằng loop không có một con số cố định mà phụ thuộc vào nhiều yếu tố, bao gồm:
Thông thường, thời gian đóng khoảng răng cửa bằng loop có thể dao động từ vài tháng đến khoảng một năm. Trong quá trình điều trị, bạn sẽ cần tái khám định kỳ theo lịch hẹn của bác sĩ để được kiểm tra, điều chỉnh lực kéo của loop và theo dõi sự di chuyển của răng.
Gắn loop đóng khoảng răng cửa là một giải pháp hiệu quả để khắc phục tình trạng răng cửa thưa. Mặc dù có thể gây ra một chút khó chịu trong những ngày đầu, nhưng cảm giác này sẽ nhanh chóng qua đi. Thời gian điều trị phụ thuộc vào nhiều yếu tố, nhưng với sự hợp tác tốt giữa bạn và bác sĩ, bạn hoàn toàn có thể sở hữu một hàm răng đều đẹp và nụ cười rạng rỡ. Đừng ngần ngại tìm đến các chuyên gia nha khoa để được tư vấn và lựa chọn phương pháp phù hợp nhất cho mình nhé!